Unsere Leistungen
Implantologie
Implantate sind heute in vielen Fällen eine elegante und technisch ausgereifte Alternative, wenn keine Zähne oder Zahnwurzeln mehr im Kiefer vorhanden sind.....
Parodontologie
Parodontitis bezeichnet eine entzündliche Erkrankung des Zahnbettes mit Abbau des Zahnhalteapparates....
Prophylaxe
Prophylaxe ist weit mehr als Zähneputzen. Abgestimmt auf Alter und persönliche Situation, umfasst Ihr individuelles Programm mehrere Elemente....
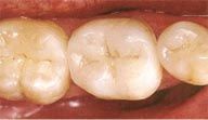
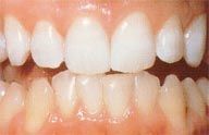
Ästhetik
Gesunde, weiße Zähne strahlen Lebensfreude und Energie aus. Dafür können wir etwas für Sie tun, wie z.B. Veneers, Inlays, Cercon...
Kinderzahnheilkunde
Viele Eltern glauben, die Milchzähne bräuchten nicht besonders gepflegt zu werden, weil sie ja ohnehin wieder ausfallen. Dies ist jedoch ein folgenschwerer Irrtum...






